If you want to complete this procedure but need a little bit longer to make the appointment, we will gladly extend your offer until you are able to do so. Please complete the form below so we can be in touch with you and reserve this special offer for you.
Privacy Policy: We hate SPAM and promise to keep your email address safe.
Includes: Implant + Abutment + Crown
0% 12 Month Financing Available
$20 Reservation fee – Credited to treatment at appointment
(X-Rays Not Included)
*Conditions Apply
*$1999 is the starting price for Implant Procedure & Crown.
Reasons to Consider Dental Implants
When both the tooth and root are damaged, the best permanent replacement is a dental implant in conjunction with a ceramic crown. This solution both looks and functions just like a natural tooth.
WHAT PEOPLE SAY
Testimonials
Nikolis Beach★★★★★
I’ve been going to Greenlake Dental for 6+ years. I won’t go anywhere else. Dr Chang and his staff are second to none. They have cancer screenings available now which is an added bonus.
Lin Yingfeng★★★★★
Professional dentist ( Dr Chang), friendly staff.Very satisfied with my new fillings. My sensitivity problems are gone!
Brooks Schomburg★★★★★
Friendly office, always greeted with a smile. Personal service by Dr. Chang, attentive and a friendly follow-up. Definitely a returning client. Brooks
Dental Implants
You’ve lost a tooth, or perhaps several. Chewing is difficult and smiling, well it’s too embarrassing. There is no question that the quality of your life has changed.
implants are the solution to renewing your smile, your chewing ability and quite frankly your quality of life.
Dental Implant Placement with Veraviewepocs 3D R100 by J. Morita CBCT Imaging
We make use of the Award-Winning Veraviewepocs 3D R100 CT Cone Beam Imaging System for Optimum Results in Implant Placement. This machine takes a 3 dimensional picture of the jaw which allows us to know exactly where to position an implant.
Veraviewepocs 3D R100 by J. Morita is an open-environment scan taken in a seated position, with scanning time less than 40 seconds, and significantly lower radiation compared to traditional CT Scans (up to 95% less radiation)
The 3-dimensional scan aids in evaluating the facial bone to assess the feasibility of placing dental implants
The images produced help assess the location of the nerves, sinuses, and nose to prevent involvement when placing the dental implants
This 3-dimensional diagnostic tool helps evaluate any abnormalities or pathology that may be present in the bone
Once this three-dimensional scan has been taken it is used to construct a biomodel of the teeth and jaws
With Veraviewepocs 3D R100’s clear and 1:1 scale images, accurate measurements assure that the optimum implant is placed
Our patient treatment is enhanced with this powerfully computed tomography technology and its precise measurement tools.
We can thus offer our patients an immediate virtual diagnosis and treatment plan-all in one visit.
What is a Dental Implant?
A dental implant is a small titanium screw that serves as the replacement for the root portion of a missing natural tooth. Dental implants can be placed in either the upper or lower jaws.
Due to the biocompatible properties of titanium, a dental implant fuses with the bone and becomes a good anchor for the replacement tooth. Dental implants can be used in solutions for replacing single or multiple missing teeth.
Many people who consider implants have removable, conventional dentures for lower and upper jaws, or have removable bridges. These people experience a significant improvement in their ability to chew food comfortably after their dental implant treatment.
The Dental Implant Procedure
The implant team usually includes either a periodontist or an oral and maxillofacial surgeon who implants the posts into the patient’s mouth, and a prosthodontist or general dentist who designs and fits the replacement teeth or permanent bridge. Dr. Chang will implant, design and fit the replacement teeth or do restorative work on faulty crowns all in one office.
At the first appointment, we use 3D Cone Beam Imaging to determine if the jaw bone is adequate to hold the titanium posts.
Within minutes of the 3D CT Scan, we are able to offer patients an immediate virtual diagnosis and treatment plan-all in one visit.
Treatment with dental implants requires meticulous planning for best results.
A surgical procedure is required (using local anesthetic and sedative) in which precision channels are created in the jawbone, often using a surgical guide. The implants are then fitted into the sites so that they are in contact with the bone. They generally require two to six months to fuse to the bone before they can have tooth restorations attached to them to complete the process.
Immediately – at the same time an implant is placed (or after a period of healing), an abutment is attached to the implant. This is a device that “abuts” or joins the implant to a tooth form called a crown, which replaces the tooth part you see in the mouth.
The custom crown is cemented or screwed onto the abutment to permanently keep it in place and should be indistinguishable from your natural teeth.
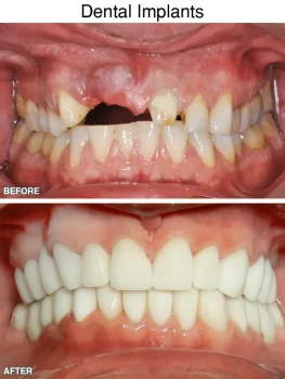
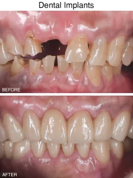
Before & After
Is Old Age a Problem?
Occasionally, older patients express concern that their age may prevent them from enjoying the benefits of dental implants. However, health is more of a determining factor than age. If you’re healthy enough to have a tooth extracted, you’re probably healthy enough to receive dental implants. Certain chronic diseases may contraindicate dental implant treatment. The dentist will determine if you are a candidate for dental implants after a careful evaluation of your dental and health history.
How Will Dental Implants Affect My Life?
Dental implant-supported replacement teeth look, feel and function like natural teeth. This means that you can eat and drink whatever you choose. But most importantly, dental implants improve quality of life in a very concrete way. People who have felt embarrassed and worried because of their tooth problems are often overwhelmed by what new permanent teeth can do for their self-esteem.
Contact us today to schedule an appointment with our office if you are considering dental implants.